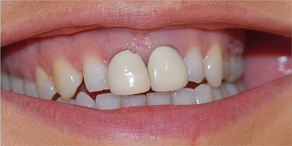
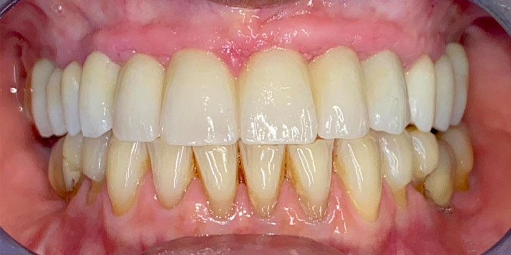
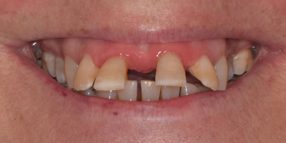
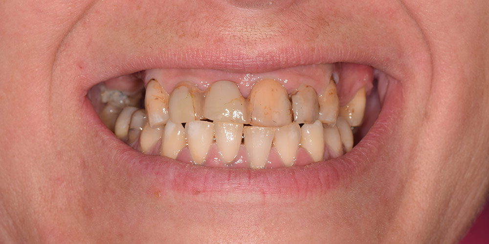
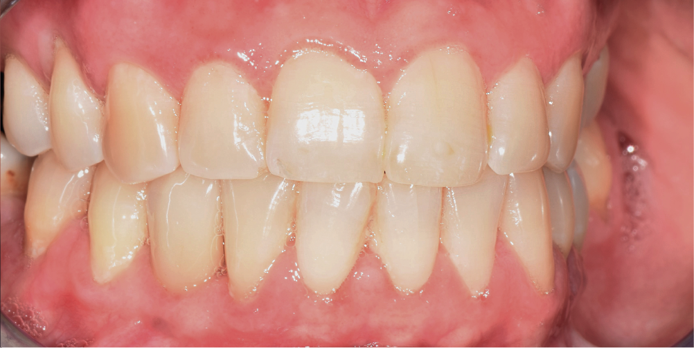
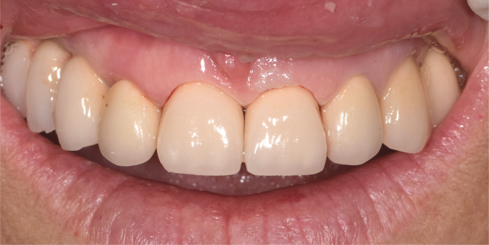
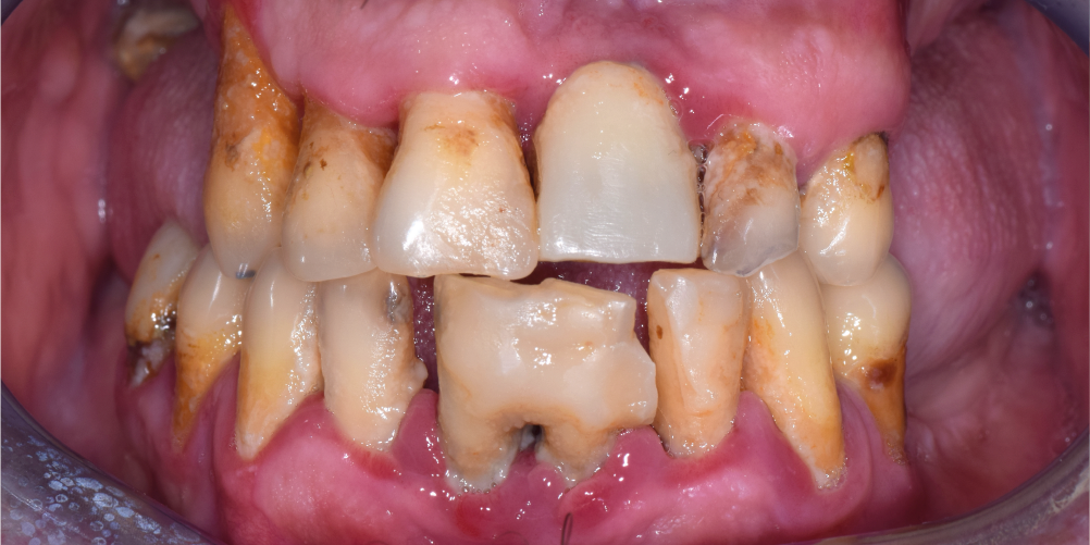
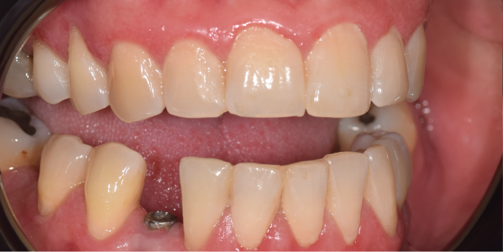
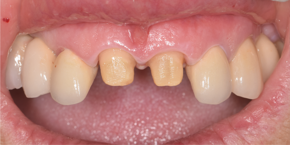
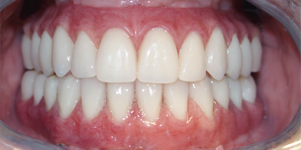
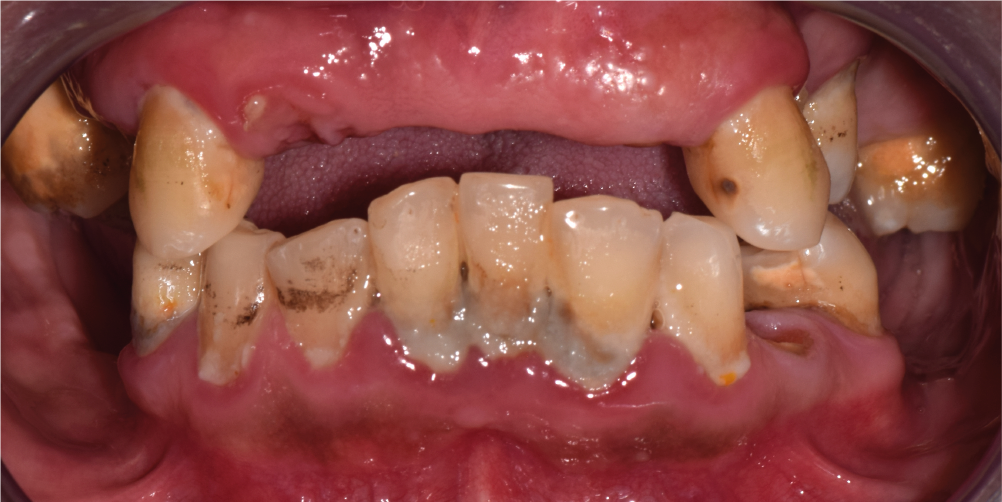
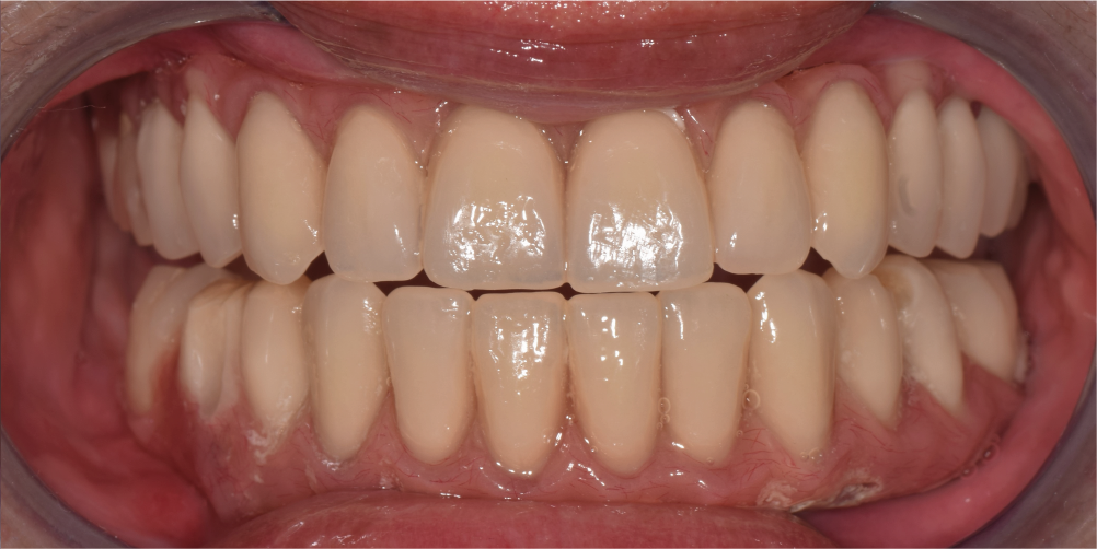
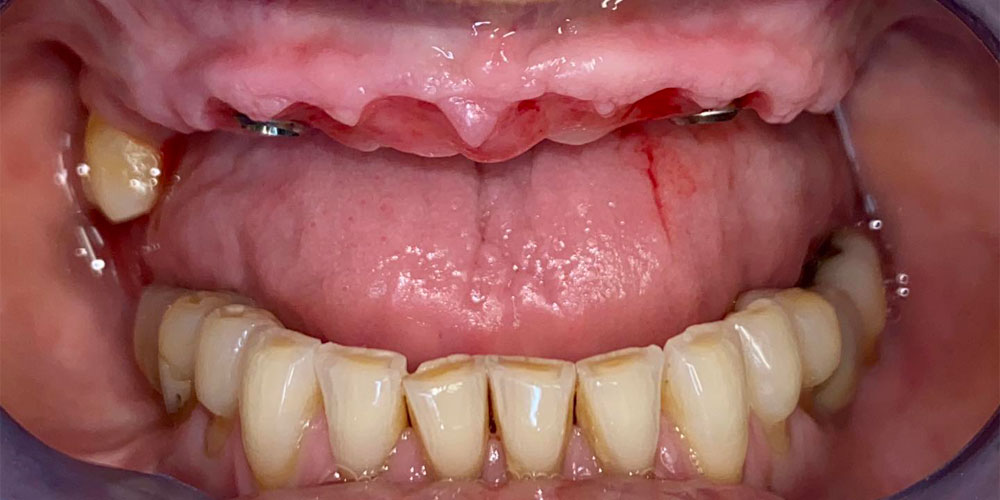
Orgulhamo-nos de fornecer tratamentos reais com resultados reais. Colocação de prótese fixa superior e inferior sobre implantes Próteses fixas sobre implantes Remodelação do maxilar superior com extração dos dentes, redução do maxilar e colocação de implantes dentários Prótese fixa sobre implantes do maxilar superior O brilho do seu sorriso é a chave para o nosso sucesso. Marcar consulta